Leczenie protetyczne
Uzupełnianie braków w uzębieniu jest ważne, aby uniknąć problemów zdrowotnych i estetycznych.
Więcej +
Dlaczego my?
InterDent to specjalistyczna klinika stomatologiczna we Wrocławiu, która od prawie 20 lat zajmuje się profilaktyką oraz leczeniem Państwa zębów w większości specjalizacji stomatologicznych. W naszej ofercie znajdą Państwo m.in. zabiegi stomatologi estetycznej, chirurgii szczękowej, protetyki, implantologii czy higienizacji jamy ustnej. Klinika stomatologiczna InterDent Wrocław to nie tylko zaawansowane zabiegi i nowoczesny sprzęt – to także ludzie. Nasz zespół składa się z wybitnych specjalistów w dziedzinie protetyki stomatologicznej, chirurgii szczękowej,implantologii i stomatologii zachowawczej oraz z doświadczonych lekarzy stomatologów w pozostałych obszarach stomatologicznych.
Zadzwoń do nas:
Poznaj Nasz Zespół!
Klinika stomatologiczna InterDent Wrocław zrzesza w swoim zespole najlepszych specjalistów z różnych dziedzin stomatologii specjalnie dla Państwa potrzeb.
Stomatologia Zachowawcza
Stomatologia zachowawcza to dziedzina stomatologii zajmująca się diagnostyką, leczeniem oraz profilaktyką chorób zębów, głównie próchnicy. Jej celem jest przywrócenie i utrzymanie zdrowia zębów, zapobieganie dalszym uszkodzeniom oraz odbudowa utraconych tkanek zęba przy użyciu nowoczesnych materiałów.
Protetyka stomatologiczna
Zabiegi protetyczne pozwalają cieszyć się pięknym i zdrowym uśmiechem pacjentom z częściowo lub nawet całkowicie uszkodzonym uzębieniem.
Metamorfozy - Spełniamy marzenia o pięknym uśmiechu!
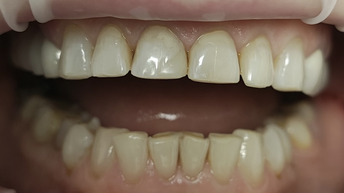
Spektakularna przemiana uśmiechu – pierwszy etap metamorfozy
Prezentujemy efekt pierwszego etapu metamorfozy uśmiechu wykonanej przez dr Jakuba Kwiatkowskiego. Już sama poprawa estetyki w łuku górnym przyniosła wyraźną zmianę – uśmiech stał się jaśniejszy, bardziej harmonijny i proporcjonalny, co natychmiast przyciąga uwagę i nadaje twarzy świeżości. To dowód na to, jak duże znaczenie ma precyzyjnie zaplanowane leczenie estetyczne oraz dbałość o detale. Efekt po wykonaniu pracy w obrębie zębów górnych już teraz zapewnia spektakularne wrażenie wizualne. Kolejny etap obejmujący łuk dolny pozwoli osiągnąć pełną spójność estetyczną i jeszcze bardziej podkreśli naturalne piękno uśmiechu. W InterDent stawiamy na kompleksowe podejście, indywidualne planowanie oraz rozwiązania, które zapewniają trwały i elegancki efekt końcowy. Umów wizytę i przekonaj się sam!
Wiecej +
Bonding? Tak jest!
✨ Metamorfoza uśmiechu przed urlopem – efekt WOW! ✨ Doktor Jakub Kwiatkowski właśnie przeprowadził jedną z tych spektakularnych przemian, które uwielbiamy pokazywać 🦷💎 ➡️ Wyrównanie linii uśmiechu ➡️ Odtworzenie startych powierzchni ➡️ Zmniejszenie „przerwy” między jedynkami ➡️ Plus – wyraźne rozjaśnienie koloru zębów To wszystko w jednym etapie, całkowicie bezinwazyjnie dla zębów! 😍 Bonding często bywa świetną alternatywą dla koron – a ten przypadek to najlepszy dowód ⚡
Wiecej +
Czas na Bonding!
Spektakularna metamorfoza zębów wykonana metodą bondingu przez dr Aleksandrę Niziołek! Dzięki precyzyjnej rekonstrukcji kształtu i koloru zębów, pacjent zyskał naturalny i harmonijny uśmiech. Na zdjęciu widoczny jest efekt pracy na górnym łuku zębowym – dolna metamorfoza w planie. Bonding to szybka i bezbolesna metoda poprawy estetyki zębów bez konieczności szlifowania. Szukasz specjalisty w Wrocławiu? Umów się na konsultację w naszej klinice!
Wiecej +
News
Protetyka
Lorem ipsum dolor sit amet consectetu adipisicing e
Wybielanie zębów lampą
Zabiegi wybielania zębów od wielu lat cieszą się niesłabnącym zainteresowaniem. Nic dziwnego - przecież dzięki śnieżnobiałym zębom możemy...
Lorem ipsum dolor sit amet consectetu adipisicing e
Lorem ipsum dolor sit amet consectetu adipisicing e Lorem ipsum dolor sit amet consectetu adipisicing e Lorem ipsum dolor sit amet consectetu adipisicing e
Kontakt
Centrum Stomatologiczne InterDent
ul. Zachodnia 14, 53-644 Wrocław
KRS: 0000055853
REGON: 931044873
NIP: 897-152-51-98









